Prefeitura alerta sobre maus-tratos após quati ser baleado com chumbinho em bosque de Marília; veja punições previstas em lei

Um quati baleado por chumbinho em Marília alerta sobre maus-tratos. A prefeitura reforça as leis e a importância de proteger a fauna local. Saiba mais!

A cidade de Marília, no interior de São Paulo, viveu um episódio preocupante que acende um alerta sobre a proteção de animais silvestres. Um quati foi encontrado baleado com chumbinho dentro do Bosque Municipal Rangel Pietraroia e precisou de socorro urgente. O caso de maus-tratos a quati em Marília gerou uma reação da prefeitura, que agora reforça as leis e a importância de respeitar a fauna local. Este incidente mostra a necessidade de atenção e cuidado com a vida selvagem que compartilha o espaço urbano.

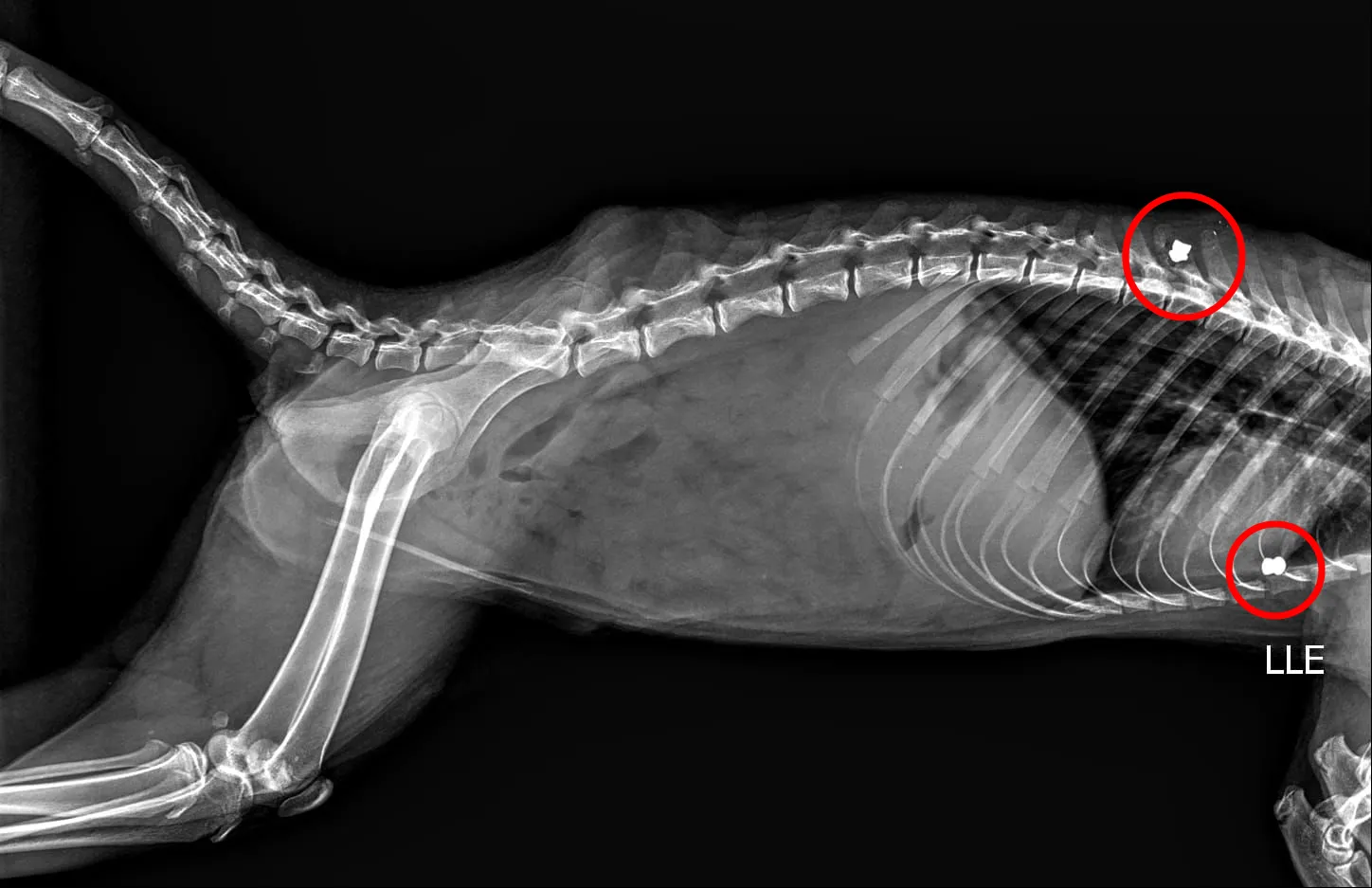
O resgate do animal aconteceu em 15 de abril. A Secretaria do Meio Ambiente agiu rapidamente para levar o quati a um atendimento veterinário especializado. Um exame de raio-X revelou que o animal carregava dois projéteis de chumbinho em seu corpo, um sinal claro da agressão sofrida. Médicos-veterinários trabalham para recuperar a saúde do quati, que segue sob observação.

PUBLICIDADE

Alimentar Animais Silvestres: Um Risco para os Quatis em Marília

Após o ocorrido, a prefeitura de Marília emitiu novas orientações sobre como as pessoas devem lidar com os bichos selvagens. Por exemplo, alimentar os animais no bosque é uma prática proibida. A médica veterinária Melissa Campitelli explicou a situação em uma entrevista. Ela disse que os quatis não moram no bosque de forma permanente. Em vez disso, eles usam o local como um caminho e procuram comida em seu ambiente natural, nos vales dos Itambés.

“Animais que vivem livres, como os silvestres da nossa fauna, nunca devem receber comida das pessoas”, explicou a veterinária. Além disso, ela ressaltou que Marília tem muitas espécies, incluindo quatis, cutias e cachorros-do-mato, que aparecem mais à noite, além de várias aves. Eles precisam achar seu próprio alimento, que é adequado para cada um na natureza. Oferecer comida nem sempre ajuda. Pelo contrário, muitas vezes, as pessoas dão alimentos que não fazem bem aos animais.

O que a Lei Diz sobre Maus-tratos a Quati em Marília e Outros Animais

A veterinária Melissa Campitelli também esclareceu que tanto maltratar quanto alimentar irregularmente animais podem gerar problemas com a lei. Estas ações podem se encaixar em diferentes legislações ambientais. As punições variam bastante. Elas podem incluir multas pesadas e até mesmo a prisão para os responsáveis. Portanto, é fundamental conhecer e respeitar as regras.

A Lei de Crimes Ambientais (Lei nº 9.605/98) trata do assunto. Quem maltrata animais pode pegar de três meses a um ano de detenção, mais multa. Contudo, a pena pode ficar maior, dependendo do caso. Se o crime for contra cães ou gatos, a lei é ainda mais rígida. Nesses casos, a reclusão vai de dois a cinco anos, além de multa e a proibição de ter outros animais. Para os animais silvestres, como o quati, a conduta também pode ser considerada um crime contra a fauna.

A prefeitura de Marília também comentou a percepção de que há muitos quatis no bosque. Em nota, o município afirmou que não existe uma superpopulação desses animais. A impressão de uma “infestação” ocorre porque eles se movem muito. Rodrigo Más, secretário adjunto do Meio Ambiente e Serviços Públicos da cidade, explicou: “Parece que tem um número grande, mas, para o tamanho do bosque, não é uma infestação. Na verdade, eles se deslocam muito durante o dia. Inclusive, atravessam ruas movimentadas. Isso faz com que as pessoas os vejam mais.”

Este incidente com o quati serve como um lembrete importante para a comunidade de Marília. A coexistência com a vida selvagem exige responsabilidade e respeito às leis. Proteger a fauna local é um dever de todos. Assim, garantimos um ambiente seguro tanto para os animais quanto para as pessoas.